By Earl O. Bergersen, DDS, MSD

It is difficult to correct the overjet during the exfoliation of the deciduous and the eruption of the permanent incisors since exfoliating teeth do not afford much support for the appliance to advance the mandible. Therefore, it is necessary to initiate this antero-posterior correction early enough that the procedure is completed well in advance of the deciduous incisor exfoliation. In this way, when the lower and upper incisors erupt, the teeth can be guided into place so that when the incisal edges of the lower incisors touch the lingual surface of the upper incisors, an ideal overbite and overjet is permanently established.
When these teeth come into contact and are straight, adult collagenous fibers are gradually formed that provide stability to their position. In most cases, when the appliance is worn at night as the permanent incisors erupt, these teeth will erupt into a perfect alignment since sufficient space is created as they erupt, because they force themselves into the arch as a result of the appliance being in the mouth.

In experiments with this appliance, it was found that when a patient wears the appliance only 1 hour while sleeping, it will straighten the teeth the same as when the appliance is worn all night. It takes very little force to stop the eruption of the adult anterior teeth when the appliance touches the incisal edges. This can prevent an excessive overbite from developing.
Another surprising finding was that erupting teeth could be rotated with only the force of eruption when enough space for the tooth was provided. It is also interesting to note that the “force” of eruption is capable of moving several adjacent teeth when the erupting tooth “makes room” for itself.
The following eruption principles can be advantageous when used in the development of an eruption technique:
a) The “force of eruption” is easily counteracted and requires only very light forces;
b) The “forces of eruption,” when unopposed, can significantly alter the position of the erupting tooth and other adjacent teeth by simply guiding them in the proper direction;
c) The “force of eruption” can easily rotate and bodily move an erupting tooth;
d) The “force of eruption” can reactivate itself after the root end is fully developed when the erupting tooth is temporarily stopped from further eruption; and,
e) It takes no counteracting force to change the eruption direction but merely an immovable object in its path.
There are also several statistical and research findings that influence the development of a logical eruption guidance technique. The most important of these are:
a) There is relatively little significant difference between the overjet at 4 years of age and at 18 years of age. In other words, once the overjet is established, it usually does not change very much during the growing years. Therefore, it is at least a partially predicative element even at 4 years of age.
b) Overjet at 2½ years of age is significantly correlated (P < 0.05) to overbite at 18 years of age. This points to a principle that an overjet that is present at 4 years of age might contribute to a developing overbite, and also that an absence of an excessive overjet at age 4 will result in or be associated with a lack of overbite at maturity. Thus, there is a possibility that early preventive correction of an excessive overjet might prevent later development of a deep overbite in the permanent dentition.
c) There is a significant correlation in the overbite from 4 to 12 years of age, with an average increase of 2 mm between the two ages. This indicates a predictive possibility where those overbites that are excessive at 6 years will usually be 2 mm or greater at 12 years, indicating that it is possible to anticipate a potential permanent overbite in the deciduous dentition and initiate incisor guidance as the mandibular permanent central incisors begin to erupt. In other words, an overbite exceeding 1.25 mm at 5 years should probably be watched in anticipation of preventive eruption guidance when the permanent lower centrals are ready to erupt through tissue.
d) Molar relations, once established with the eruption of the first permanent molars at age 6, do not change to adulthood (discounting closure of the leeway space, loss of tooth mass from decay, premature extraction of teeth, and the development of skeletal mandibular prognathism). This presents another predictive possibility with the correction of the deciduous molar relation or jaw relation to a Class I (or flat terminal plane in anticipation of a Class I relation) prior to the eruption of the first permanent molar, which would probably then maintain this corrected position into adulthood.
e) Adult periodontal collagenous fiber bundles develop when erupting teeth come into occlusion with opposing members. This then stabilizes the teeth and helps to resist future relapse. This principle enables teeth to resist relapse if they can be positioned prior to the collagen formation while the teeth are still in the process of active eruption. The possibility of greater stability of the dentition in prevention of relapse of rotations, antero-posterior, bucco-lingual, and labio-lingual positions, as well as vertical overbite, is the result of eruption guidance prior to collagenous fiber development and completion of facial growth.
f) “Growth spurts” at 5½ to 7 years and from 9 to 10½ years of age are not strongly related to the timing of body height spurts immediately prior to puberty and are generally not related to skeletal age determinants. This would tend to indicate that these facial spurts in perceived mandibular growth (expressed in the anterior facial profile) are probably not controlled in the same way as the pubertal spurt, since there are strong correlations of the facial pubertal spurt to the body spurt in height and is strongly related to skeletal maturation, while “early” spurts are not.
![]() |
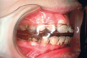
FIgure 3: Initial case of overjet and overbite. |
There is a strong indication that these early facial “spurts” are more related to two major periods of dental eruption, namely that of the incisors and that of the bicuspids and canines. Also, the direction of growth or positional changes of the mandible at Menton becomes more vertical during periods of dental eruption than during periods of deciduous dental exfoliation. These changes in the direction of the mandible during growth at night could be utilized to facilitate easier correction of vertical discrepancies in the overbite during the eruption phases of the permanent dentition.
g) Relapse in overbite is strongly correlated to the amount of facial growth during and after orthodontic treatment. The study of vertical growth changes in the face measured from ANS to Menton indicate that only 4 mm of vertical growth remains in the female from 11 years 4 months to adulthood, and in the male from 14 years 3 months to adulthood. Six mm remain in the female at 8 years 9 months, and 7 mm remain from 7 years 4 months.
This supports the premise that vertical growth of an equal amount to the overbite correction is necessary to prevent relapse. Earlier treatment than is customarily recommended by most orthodontists, particularly in the female, would be strongly indicated in order to prevent the inordinately high percentage of overbite relapse associated with orthodontics when treatment is begun at 11 or 12 years of age.
h) When open bites are corrected at 5 to 7 years of age, rarely does an anterior tongue-thrust persist. In fact, when the anterior teeth are allowed to fully erupt, the swallowing pattern adapts naturally to the new position and usually no tongue-thrust therapy is needed. The same procedure after 10 years of age frequently results in relapse or necessitates concentrated tongue therapy that frequently is only partially successful.
A similar occurrence takes place when a child of under about 8 years of age is moved from one foreign country to another with a different language. The child usually learns to speak the new language with no accent. However, if a child of about 10 years or more is moved in a similar way, an accent from the original country usually remains for the rest of that child’s life. This is thought to be due to early synapse closure for tongue coordination. Therefore, there is a strong indication for early treatment for open bite in order to avoid the possibility of “fixed muscular patterns of function of the tongue” and frequent relapse of late orthodontic corrections of open bite.
i) Eruption of teeth from the time they exit tissue to contact with opposing teeth is at the rate of about 0.4 mm per month; while after full occlusion to the end of puberty it is 0.1 mm per month. After puberty it is negligible. Obviously, if eruption of segments of teeth are necessary for the correction of certain problems (eg, overbite and TMJ disturbances), then early treatment during an active eruption period would appear to be strongly indicated.
j) Correction of TMJ problems in a child with active eruption of teeth and treated at a time when enough growth remains to ensure stability of the overjet and overbite treatment is logical, provided the joint problem is related to the overbite and overjet. Treatment of the adult joint problems due to overbite frequently fails due to a collapse of the vertical correction following orthodontic treatment since the vertical facial growth has terminated at this stage.
k) Arch expansion during the deciduous and mixed dentition will usually be retained when it does not exceed the normal eruptive expansion from canine-to-canine, but will not usually stay when done after the eruption of the posterior permanent teeth.
![]() |
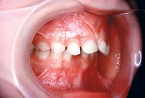
Figure 4: Final results using Nite-Guide® treatment procedure. The patient wore the appliances only while sleeping. |
Case Study
The recommended procedure at about 6 years of age, as the first adult lower central incisor breaks tissue, is to insert an appliance. Here a Nite-Guide® is used (Figure 1) that is two half-sizes larger than the width of the lower arch; crowding is anticipated. Since these appliances are preformed and come in several sizes according to permanent tooth sizes, they can easily be measured and a size can be selected that is larger than the potentially crowded dentition.
The object is for the appliance to fit the patient very ?well when all of the teeth are properly aligned. A second appliance is inserted when the mandibular laterals begin to erupt and is usually three half-sizes larger than the first appliance. This appliance is an Occlus-o-Guide® (Figure 2), which also serves as the retainer of choice.
The treatment takes about 2 years, and the patient only wears the appliance while sleeping. It is an excellent phase I for an orthodontist, since it produces a good Class I noncrowded, ideal overbite and overjet touch-up case. This can significantly minimize the total treatment effort and can give a good early result (Figure 3 and Figure 4). OP
![]() |
Earl O. Bergersen, DDS, MSD, taught at Northwestern University for 25 years on growth and development. He has lectured throughout Europe, the United States, Canada, Asia, Africa, and South America on growth and development research, as well as at the pediatric postgraduate department of the graduate school of dentistry at Tufts University. He has done extensive research on the use of skeletal age assessments of maturity in relation to facial and body growth and its influence on orthodontic treatment and retention timing. He can be reached at [email protected]. |




