by Dipak Chudasama, BDS, MSC, MOrth RCS; and Laurance Jerrold, DDS, JD, ABO
Fiber-reinforced composite archwires offer aesthetics and clinical flexibility
![]() |
A variety of archwires are available to the clinician, and it can be difficult to decide which archwire has the desired properties for a given clinical situation.1–4 Often, there may be several wires to choose from, each offering similar characteristics. Over the last few years, the most popular archwires available to the clinician were made from either stainless steel (SS), nickel titanium (NiTi), copper nickel titanium, or beta titanium. Although superelastic archwires are the most common initial aligning archwires used, there is actually little published work on the effectiveness of superelastic NiTi wires.5,6
Evidence suggests that NiTi alloys may not be superior as initial aligning wires when compared to traditional SS archwires. In addition, there is some evidence relating superelastic NiTi archwires to a higher incidence of root resorption.7
![]() |
![]() |
| Dipak Chudasama, BDS, MSC, MOrth RCS | Laurance Jerrold, DDS, JD, ABO |
Which Wire?
The first dilemma for the orthodontist comes in selecting the appropriate archwire for a given case or stage of treatment from among the numerous types of archwires manufactured by various supply companies. The second problem a clinician faces is that few aesthetic archwire options are available with the desired characteristics for a given stage of treatment.
Composite Wires
In an attempt to improve orthodontic treatment, companies have developed translucent, fiber-reinforced composite wires that are not only highly aesthetic, but also have mechanical properties comparable to those of orthodontic metal wires. Using fiber-reinforced composite technology allows the practitioner to now choose an aesthetic wire based on the ability to adjust the strength and stiffness of the wire simply by modifying the reinforcing glass fiber and plastic (dental composite) resin. Preliminary mechanical testing of fiber-reinforced composite wires in dry and wet (mouth-like) conditions indicate that they perform similarly to orthodontic metal wires.
![]() |
![]() |
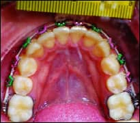
| A case showing reduction of an Irregularity index of 4 in 4 months of treatment with an 0.018 BioMers wire. | |
These new wires present both the practitioner and the patient with greater options. From the practitioner’s perspective, there are greater choices based on strength, flexibility, and biomechanical needs; from the patient’s perspective, there are now aesthetic options that are biocompatible.
![]() |
![]() |
![]() |
![]() |
| A case showing reduction of an Irregularity index of 4 in 4 months of treatment with an 0.018 BioMers wire. | |
Fiber-reinforced composites have been developed as aesthetic and metal-free alternatives for various dental materials, including prosthetic bridges and crowns, periodontal splints, and orthodontic retainers.8–10
![]() |
![]() |
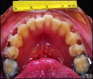
| A case showing the start of treatment and space creation using an open coil spring with an 0.018 BioMers wire. | |
![]() |
![]() |
Recently, the BioMers archwire was introduced for testing at the School of Orthodontics at Jacksonville University (JU). A total of 46 patients underwent a pilot study with these new archwires, which were 0.018 inches in dimension. The specific criteria used to determine which patients were qualified to participate were detailed in an approved Institutional Review Board protocol. Among patient selection was exclusion of the following: 1) patients exhibiting excessively large gaps, such as those left by extractions; and 2) clinical situations in which wire deflections with angulations of greater than 60º would be encountered.
![]() |
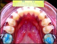
These additional photos of the same case as above show the reduction of an Irregularity index of 3 in 4 months of treatment with an 0.018 BioMers wire. |
![]() |
![]() |
From the results of the JU investigation, it appears that this new archwire can offer the profession what it has been long seeking: aesthetic appearance and the biomechanical ability to correct incisor irregularity. The following four cases show the initial leveling and aligning ability of this new archwire. As you can see, almost total correction was achieved within a 4-month period. As more wires are developed in other diameters, the applicability of this new technology will exponentially increase and will benefit both practitioners andpatients.
References
- Segner D, Ibe D. Properties of superelastic wires and their relevance to orthodontic treatment. Eur J Orthod. 1995;17:395-402.
- Jones ML, Richmond S. Initial tooth movement: force application and pain—a relationship. Am J Orthod. 1985;88:111-116.
- Kusy RP. A review of contemporary archwires: their properties and characteristics. Angle Orthod. 1997;67:197-208.
- Burstone CJ, Qin B, Morton JY. Chinese Ni-Ti wire: a new orthodontic alloy. Am J Orthod. 1985;87:445-452.
- West AE, Jones ML, Newcombe RG. Multiflex versus superelastic: a randomised clinical trial of the tooth alignment ability of initial archwires. Am J Orthod Dentofacial Orthop. 1995;108:464-471.
- Evans TJW, Jones ML, Newcombe RG. Clinical comparison and performance perspective of three aligning archwires. Am J Orthod Dentofacial Orthop. 1998;114:32-39.
- Weilland F. Constant versus dissipating forces in orthodontics: the effect on initial tooth movement and root resorption. Eur J Orthod. 2003;25:335-342.
- Geserick M, Ball J, Wichelhaus A. Bonding fiber-reinforced lingual retainers with color-reactivating flowable composites. J Clin Orthod. 2004;38:557-559.
- Burstone CJ, Kuhlberg AJ. Fiber-reinforced composites in orthodontics. J Clin Orthod. 2000;34:271-279.
- Freudenthaler JW, Tischler GK, Burstone CJ. Bond strength of fiber-reinforced composite bars for orthodontic attachment. Am J Orthod Dentofacial Orthop. 2001;120:648-653.
Dipak Chudasama, BDS, MSC, MOrth RCS, is the director of research at Jacksonville University School of Orthodontics, Jacksonville, Fla. He can be reached at
Laurance Jerrold, DDS, JD, ABO, is the dean and program director of postgraduate orthodontics at Jacksonville University School of Orthodontics and is a nationally recognized dental risk-management educator. He can be reached at















